Skip to Content
Se Habla Español
855-750-5011
Home
About Us
Why ProHEALTH Dental
Our Affiliations
Join Our Team
Patient Reviews
Our Brands
ProHEALTH Dental
ProHEALTH Riverside Dental
WestDental
Our Management Team
Norton Travis
Daniel Weinstein
Gina Schroeter
Locations
ProHEALTH Dental
Astoria, NY
Bay Shore, NY
Garden City, NY
Howard Beach, NY
Huntington, NY
Lake Success, NY
Long Island City, NY
Mt. Kisco – Kids Are Great Dental
Oceanside, NY
Yorktown Heights, NY
ProHEALTH Riverside Dental
Hoboken, NJ
WestDental
White Plains, NY
Yonkers, NY
Find a Dentist
Services
General Dentistry
Pediatric Dentistry
Orthodontics
Invisalign®/Clear Aligners
Endodontics
Oral Surgery
Dental Implants
Dental Sleep Treatment
Cosmetic Dentistry
Periodontics
Prosthodontics
Patient Resources
New Patient Forms
Insurance
Dental Care for NYPD and Families
Dental Care for UPS Workers
VIP Program
Financing Options
Pay a Bill
Non-Invasive Screenings
Safety Guidelines
Oral Health News
Oral Health Tips
Pay a Bill
Close
Search
Home
About Us
Main Menu
Why ProHEALTH Dental
Our Affiliations
Join Our Team
Patient Reviews
Our Brands
ProHEALTH Dental
ProHEALTH Riverside Dental
WestDental
Our Management Team
Norton Travis
Daniel Weinstein
Gina Schroeter
Locations
Main Menu
ProHEALTH Dental
Astoria, NY
Bay Shore, NY
Garden City, NY
Howard Beach, NY
Huntington, NY
Lake Success, NY
Long Island City, NY
Mt. Kisco – Kids Are Great Dental
Oceanside, NY
Yorktown Heights, NY
ProHEALTH Riverside Dental
Hoboken, NJ
WestDental
White Plains, NY
Yonkers, NY
Find a Dentist
Services
Main Menu
General Dentistry
Pediatric Dentistry
Orthodontics
Invisalign®/Clear Aligners
Endodontics
Oral Surgery
Dental Implants
Dental Sleep Treatment
Cosmetic Dentistry
Periodontics
Prosthodontics
Patient Resources
Main Menu
New Patient Forms
Insurance
Dental Care for NYPD and Families
Dental Care for UPS Workers
VIP Program
Financing Options
Pay a Bill
Non-Invasive Screenings
Safety Guidelines
Oral Health News
Oral Health Tips
Pay a Bill
REQUEST APPOINTMENT
Follow Us
Book an Appointment
Top
2
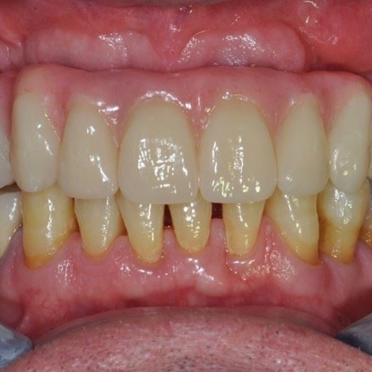
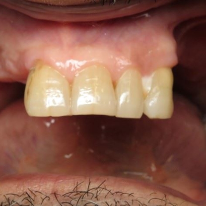
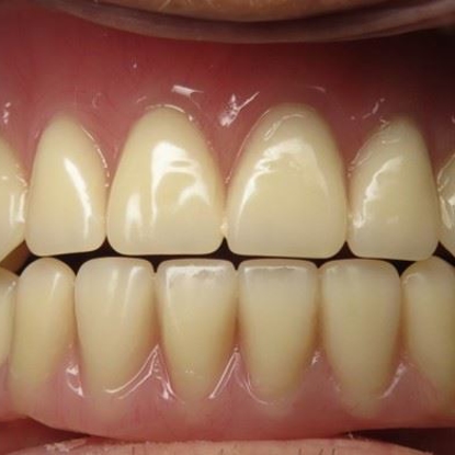
Dental Implants 1
2
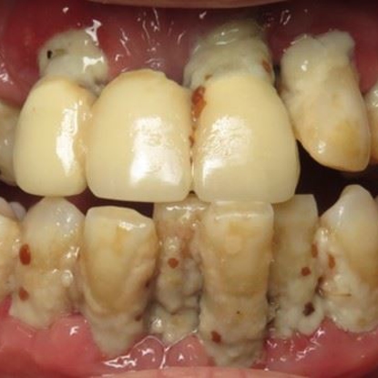
Dental Implants 2
2
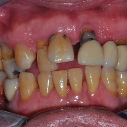
Dental Implants 3
2
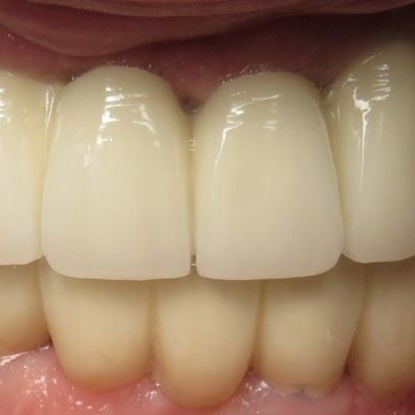
Dental Implants 4
2
Dental Implants 5
2
Dental Implants 6
2
Dental Implants 7
2
Dental Implants 8